There are numerous causes of white shadowing in the lungs including:
If there is a 'white-out' of a hemithorax it is useful to assess the position of the trachea - is it central, pulled or pushed from the side of opacification.
| Trachea pulled toward the white-out | Trachea central | Trachea pushed away from the white-out |
|---|---|---|
| Pneumonectomy | Consolidation | Pleural effusion |
| Complete lung collapse e.g. endobronchial intubation | Pulmonary oedema (usually bilateral) | Diaphragmatic hernia |
| Pulmonary hypoplasia | Mesothelioma | Large thoracic mass |
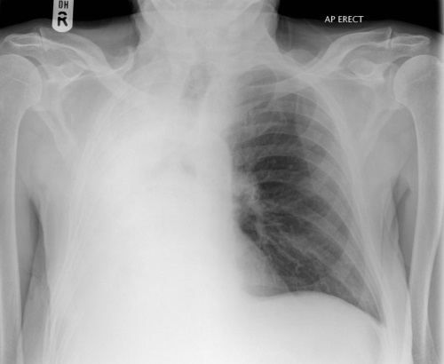
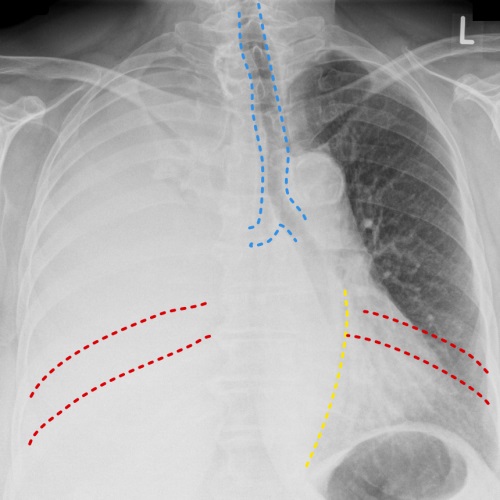
© Image used on license from Radiopaedia

Lung collapse - note how the trachea is pulled towards the side of the white-out
© Image used on license from Radiopaedia

Pleural effusion - note how the trachea (blue) is pushed away the side of the white-out. The other signs of a positive mass effect include leftward bowing of the azygo-oesophageal recess (yellow) and splaying of the ribs on the right (red)
For more information check out the link to the superb Radiology Masterclass website.